04 November 2025 - Medcast Medical Education Team

Overview
Oral mucosal ulcers are very common in primary care; most are transient and self‑limiting. The most frequently reported form is recurrent aphthous ulceration, also known as recurrent aphthous stomatitis (RAS), affecting approximately 5–25 % of the general population.
It is important to consider oral cancer as a differential diagnosis, of which SCCs are the most common (> 90% of oral malignancies).
Aetiology and differential diagnoses of oral ulcers
The causes of oral ulceration include:
- local trauma: cheek/lip biting, sharp teeth, braces, ill-fitting dentures, post-dental procedures
- inflammatory/autoimmune conditions: RAS, oral lichen planus, inflammatory bowel disease, coeliac disease, granulomatosis with polyangiitis, graft‑versus‑host disease, Behçet’s disease, reactive arthritis, SLE
- dermatological conditions: pemphigus, erythema multiforme (EM), Stevens‑Johnson syndrome/toxic epidermal necrolysis
- nutritional deficiencies: iron, folate, vitamin B12, vitamin C
- infections: herpes simplex virus, herpangina (usually coxsackie virus), hand-foot-and-mouth disease (coxsackie virus), syphilis, HIV, EBV, fungal infections (more common in patients with chronic disease or immunosuppression)
- drug‑induced or iatrogenic: NSAIDs, ACE inhibitors, nicorandil, chemotherapy/radiotherapy (oral mucositis)
- neoplastic: SCC, other: malignant salivary gland tumours, oral melanoma, Kaposi’s sarcoma, non-Hodgkin’s lymphoma
Oral mucosal malignancy
Oral squamous cell carcinoma (SCC) is the most common oral malignancy and typically presents:
- as a non-healing ulcer
- with indurated, rolled edges
- often on the lateral tongue or floor of mouth
Risk factors include:
- tobacco use
- alcohol consumption
- older age
- HPV infection
- poor oral hygiene
Early referral is critical due to potential for early metastasis.

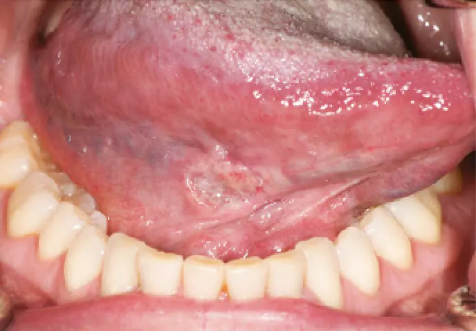
Image 1: SCC of the right tongue (source: https://www1.racgp.org.au/ajgp/2020/september/common-benign-and-malignant-oral-mucosal-disease)

Image 2: SCC of the left buccal/retromolar trigone region (source: https://www1.racgp.org.au/ajgp/2020/september/common-benign-and-malignant-oral-mucosal-disease)
Recurrent aphthous stomatitis
RAS arise from uncertain aetiology but may be associated with:
- genetic predisposition (up to 46% of cases have a family history of RAS)
- local trauma/contact reaction to allergens or harsh chemicals
- stress
- smoking cessation (for up to 2 weeks)
- anaemia
- systemic disease, including
- Behcet disease (RAS contributes to diagnostic criteria)
- HIV infection (unusually severe RAS)
- nutritional deficiency
- gastrointestinal disorders such as Crohn’s disease and ulcerative colitis
Recurrent aphthous ulcers are painful and well-demarcated, and may be categorised into three subtypes:
- minor subtype most common (80% of RAS): usually 2-4 mm in diameter, heal within seven to 10 days
- major subtype (10% of RAS): >10 mm in diameter, can persist up to 10 weeks; most frequent form in those with AIDS
- herpetiform (1-10%): recurrent crops of up to 100 non-vesicular ulcers 2-3 mm in diameter, can coalesce; (not associated with herpes virus)

Image 3: aphthous ulcer (source: Science Photo Library)
Initial assessment in general practice
- History:
- onset, duration, recurrence (common in RAS and recurrent herpes)
- extra-oral involvement (eg in erythema multiforme, lichen planus, nutritional deficiencies, inflammatory bowel disease)
- history of immunocompromise/systemic conditions
- medication history
- smoking and tobacco use and alcohol consumption (risk factors for oral SCC)
- Examination: location, number, size, shape, base, borders, surrounding mucosa; palpate regional lymph nodes; extra-oral manifestations (eg other cutaneous lesions), check for oral risk factors like teeth, dentures
Investigations
Indications for referral
Consider urgent specialist (oral medicine specialist, maxillofacial surgeon, or ENT) assessment if any of the following red flag features are present:
- ulcer > 2 weeks’ duration (should be referred for biopsy to rule out malignancy)
- induration or rolled/raised margins (indicative of potential malignancy)
- ulcer located on high cancer-risk sites (eg lower lip, lateral tongue, floor of mouth, retromolar area, tonsillar fossa)
- frequent recurrence of ulceration without obvious trigger
- associated systemic symptoms: weight loss, lymphadenopathy, dysphagia
- suspected Stevens‑Johnson syndrome/toxic epidermal necrolysis (dermatological emergency requiring hospitalisation)
- ulcerative oral fungal infections or severe/atypical ulcers in patients with immunosuppression, haematological malignancy, and uncontrolled diabetes mellitus
Management of oral ulcers in general practice
- Symptomatic care:
- salt water rinses or 0.2% chlorhexidine mouthwash (short term up to two weeks to reduce plaque if inflammation restricts brushing)
- topical analgesic (for patients ≥ 6 years old): benzydamine 1% gel topically to ulcer two to three hourly as required, for ≤ 2 weeks
- anaesthetic: benzocaine/lidocaine mouthwash
- Treat identifiable causes:
- address local trauma (eg dental referral for denture adjustment)
- address nutritional deficiencies with supplementation
- cease offending products (eg over the counter teeth whitening products) and try eliminating possible food triggers
- treat infections where possible (eg antivirals for herpetic ulcers)
- RAS-specific: topical corticosteroids (eg Kenalog in Orabase), if commenced within 24 hours of onset of the aphthous episode, can shorten the duration of symptoms
- systemic corticosteroids may be required in severe or refractory cases but are not appropriate as first-line
References
- BMJ best practice: assessment of oral ulceration https://bestpractice.bmj.com/topics/en-gb/1119
- AJGP: common benign and malignant oral mucosal disease https://www1.racgp.org.au/ajgp/2020/september/common-benign-and-malignant-oral-mucosal-disease
- Plewa MC, Chatterjee K. Recurrent Aphthous Stomatitis. [Updated 2023 Nov 13]. In: StatPearls [Internet]. Treasure Island (FL): StatPearls Publishing; 2025. Available from: https://www.ncbi.nlm.nih.gov/books/NBK431059/. (last accessed July 2025).
Claim your CPD
After reading the clinical summary above and reviewing the references, complete the quiz to gain 30 minutes of EA CPD and 30 minutes of RP CPD.
You can either self-report CPD to your CPD home, or Medcast will track your learning via your personal CPD Tracker and you can download and report these points once a year. See our CPD Tracker FAQ.
Quiz
Please log in or sign up for a free Medcast account to access the case study questions and achieve the CPD credits.
Registered users only
Log in or sign up for a free Medcast account to continue.